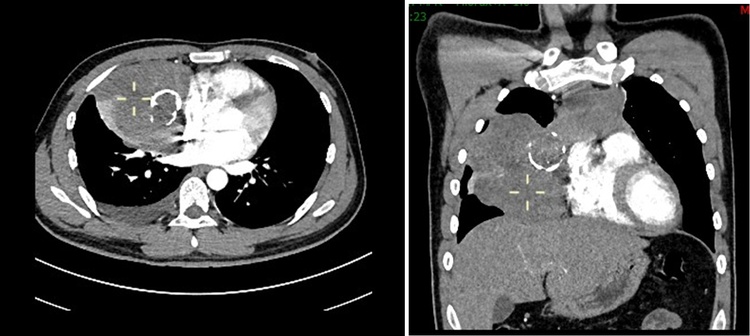
莫先生今年27岁,近年来在行走后经常出现下肢无力的情况,尤其是爬楼梯后更感觉迈不动腿。近3月来,症状逐渐加重并出现眼皮下垂、视物重影、咀嚼无力、发音不清、活动后胸闷、气促、咳嗽及胸痛等症状,且症状晨轻暮重。小莫意识到自己身体出现了状况,在家人的陪同下来到深圳市中医院检查。CT检查发现前上纵隔有一巨大肿块,直径达10cm。肿块向右侧胸腔生长且与上腔静脉、无名静脉、心包及右肺中叶分界不清(图1)。经脑病心理科和心胸外科联合会诊,诊断为胸腺瘤合并全身型重症肌无力。由于肿瘤巨大,已经压迫或侵犯邻近心脏、血管和肺组织,且胸腺肿瘤伴随有重症肌无力表现,莫先生面临随时出现呼吸循环衰竭的可能,疾病严重威胁着他的生命。

图1:CT扫描提示胸腺巨大肿瘤,凸向右侧胸腔生长,右侧胸腔积液。
胸腺原发性肿瘤由胸腺上皮分化而来,生物学行为多表现为一种侵袭性生长的低度恶性肿瘤,所以诊断明确,都应早期手术切除。当肿瘤侵犯或压迫邻近纵隔结构后可出现咳嗽、胸痛、呼吸道感染、声音嘶哑、头面部青紫、肿胀等症状,严重时会出现心包积液、胸腔积液,影响呼吸和循环功能。
深圳市中医院心胸外科团队接诊患者后,经过缜密分析讨论,明确了手术指征和手术方案。7月7日,该团队在全麻联合针刺麻醉下为患者施行胸部正中切口纵膈肿瘤切除术。术中发现,肿瘤已侵犯右上腔静脉和无名静脉、心包及部分右肺中叶,肿瘤与受侵犯组织间粘连紧密,无明确分界。为保证完整切除肿瘤,需要切除被侵犯的上腔静脉、无名静脉、心包及右肺中叶组织。同期行人工血管置换成形术。经过3小时紧张的手术,医生顺利地完整切除了肿瘤及受侵犯组织,进行了上腔静脉和无名静脉人工血管置换,手术过程中患者呼吸循环平稳,头面部无静脉回流障碍表现。(图2)。

图2:左:切除部分受侵犯心包;右:肿瘤完整切除,人工血管置换后。
手术是治疗胸腺肿瘤最有效的方法。即便是肿瘤已经发展到IV期,只要身体条件可以耐受,都推荐手术切除肿瘤,并辅助放疗、化疗和中医院综合治疗。在非体外循环下进行上腔静脉和无名静脉人工血管置换,可能出现大出血、气血栓塞、脑水肿、蛛网膜下腔出血等风险。需要熟练掌握血液动力学变化和血管吻合技术,更需要良好的团队配合才能顺利完成手术。
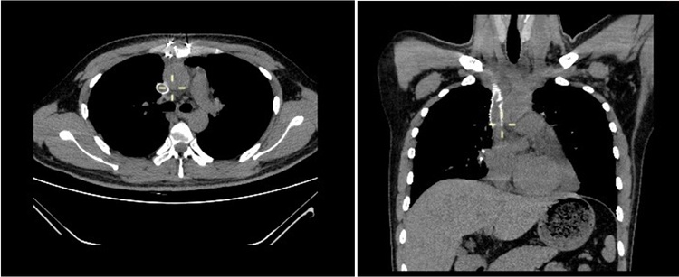
手术完成后,患者进入重症监护病房,在医护人员的严密监护和治疗下,辅助予针灸理疗等中医康复手段,莫先生克服了术后重症肌无力危象和肺部感染等可能出现的并发症,逐渐康复并恢复了年轻人的活力,顺利出院。复查胸部CT纵隔内未见明显肿瘤性占位病变,人工血管位置良好。

图3:术后复查胸部CT情况。
重症肌无力是一种获得性自身免疫性疾病,由神经肌肉传递障碍引起的骨骼肌收缩无力。分为全身型和眼肌型。约20-50%胸腺瘤患者会出现重症肌无力症状。胸腺廓清手术是治疗重症肌无力的有效手段,胸腺瘤合并重症肌无力更是绝对的手术适应症。治疗过程中,中医药治疗方法的应用,很好地帮助了患者康复。重症肌无力属于中医“痿症”范畴,脾主肌肉,眼睑亦属于脾,故起病者多因脾虚所致。早在《皇帝内经》便有记载,“因于湿,首如裹,湿热不攮,大筋软短,小筋弛长,软短为拘,弛长为痿”,以“筋痿”、“脉痿”等命名和分类。中医在痿症治疗上有着丰富的临床经验,如针刺麻醉减少了麻醉药用量以加快术后恢复,针灸理疗、局部推拿、药浴等能逐步达到扶助正气、驱邪通络、治疗痿症的目的。痿症的发生常与自身摄护不慎有关,诸如自然界的湿、寒、热、暑等六淫邪气趁机而入,侵害身体而发生痿症。因此在日常生活中,顺应四时气候变化,御寒保暖,避暑防热,谨防湿气,适当运动,能有效预防痿症发生。
供稿:深圳市中医院外五科 滕晏丰、黄茂杰、卢海琪



