2021年12月2日晚上,101岁的刘大爷在家人的陪伴下来我院急诊科就诊。刘大爷来的时候,他蜷缩着身子,手捂着肚子,不停地说着“肚子好痛啊”,满脸痛苦。原来,刘大爷四天前就出现了右上腹痛,当时以为是胃不舒服,就没多在意。近1天来,右上腹疼痛较前剧烈。经过查体发现:腹膨隆,腹肌紧张,肝区叩痛,墨菲征(+);急诊科医生做了实验室及影像学检查后,诊断为胆囊结石并急性胆囊炎。因感染情况重,病情危急,刘大爷被收入ICU进行进一步治疗。经内科治疗效果欠佳,况且患者年龄大,基础疾病多,外科手术风险极高,再不处理就会发展成全身菌血症,危及生命。经介入科医生会诊后,决定行经皮经肝穿刺胆囊置管引流术(Percutaneous transhepatic gallbladder drainage, PTGD)。
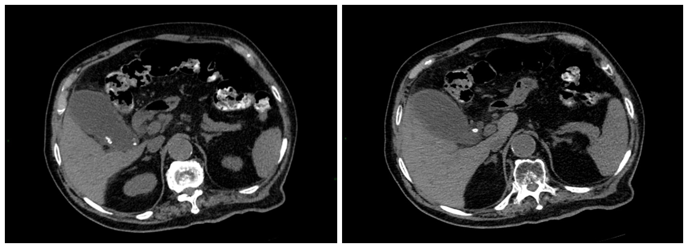
患者术前上腹部CT检查提示:胆囊明显增大,大小约5*10cm,壁厚毛糙,胆囊内及胆囊颈-胆囊管内可见结节状结石影,直径约7mm;刘大爷的胆囊已经肿胀的像小气球一样,比正常胆囊大一倍。
术前实验室检查:急诊血常规:白细胞16.86*109/L,中性粒细胞# 13.68*109/L,中性粒细胞% 81.2%,血液感染标志4项:C反应蛋白 150.4mg/L,降钙素原0.547ng/ml,白细胞介素6 222pg/mL,淀粉样蛋白A 11360.0mg/L。
根据患者情况,12月3日,患者在彩超及DSA引导下接受了经皮肝穿刺胆囊置管引流术:将7F猪尾巴引流管顺利置入并成攀于胆囊内,引流管形态及位置良好,引流出约50ml脓性液体,并予甲硝唑反复冲洗。
患者术前、术后白细胞变化趋势图
术后胆汁引流通畅,经胆囊冲洗、抗感染、营养支持等治疗后,患者临床症状明显缓解。刘大爷开心地表示,自己的肚子不痛了,食欲也好转了,各项感染指标均降至正常,终于可以出院了!
科普知识:
胆囊是储存胆汁的器官,就像一个囊状小袋子。当我们吃东西的时候,胆囊(小袋子)就会收缩排出胆汁帮助我们消化;当胆囊管堵塞时,胆汁不能排出,就会聚集、浓缩在胆囊(小袋子)内。时间久了就会滋生细菌,导致胆囊(小袋子)发炎、肿胀,压力增高,若压力持续增高,胆囊(小袋子)就会穿孔,病情恶化。况且急性期胆囊(小袋子)壁水肿、充血,不宜立即行外科手术治疗,为了控制病情恶化,这时候就需要在胆囊(小袋子)里放一根圆珠笔芯大小的管子,将里面的脏东西引流出来,并把里面冲洗干净,胆囊(小袋子)压力降低,慢慢地就好了。PTGD术操作简单、创伤小、并发症少,是不能耐受手术急性胆囊炎重症患者的首选治疗方法,并为择期腹腔镜下胆囊切除术创造了有利条件。
供稿:深圳市中医院放射介入科 邓海辉



