大医精诚,悬壶济世,传承中医,弘扬国粹
医院动态
了解深圳市中医院最新资讯

【帮扶故事】指导开展复杂腹腔镜胆囊切除术,龙川县中医院微创技术再创新高

发布日期:2020-06-15


开展复杂腹腔镜胆囊切除术

微创技术再创新高

胆囊结石发病率位于胆囊良性疾病之首,随着生活水平的提高,饮食习惯的改变以及生活条件的改善,我国的胆囊结石发病率较前大为提高。


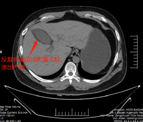
近日,龙川县中医院外一科收治了一名特殊胆囊结石患者,43岁男性,一年内因胆囊结石诱发腹痛多达十余次,每次疼痛均较重,但因惧怕手术以及工作原因,均未行手术治疗,今年5月中旬,患者再次因为胆囊结石诱发剧烈腹痛到龙川县中医院就诊。


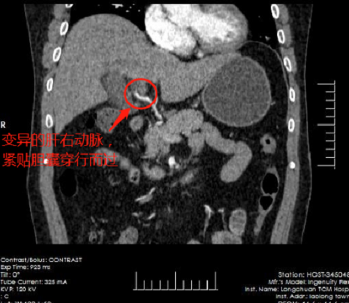
深圳市中医院派驻龙川县中医院的外科骨干李嘉硕士,检查后认为患者进行胆囊切除势在必行,但完善相关检查,发现患者存在三大手术难点:其一,患者过度肥胖,器官组织脂肪沉积,术中显露存在一定困难;其二,因多次腹痛频繁发作,胆囊充血水肿炎症偏重,渗出较多,解剖关系不清晰;其三最为重要,患者肝动脉变异,肝右动脉为右侧肝脏的主要供血动脉,多数均在肝门处稍低位进入肝脏,但患者肝右动脉显著降低至距离切除胆囊壁不足2毫米处汇入右侧肝脏,手术中一旦损伤此动脉,鲜血将喷射而出,后果不堪设想。根据综合评判,患者胆囊归类为四级胆囊,手术难度在胆囊切除术中属于最高级别,需要技术成熟的手术团队方可顺利切除。




有鉴于此,深圳市中医院普外科帮扶李嘉主治医师与外一科谢闻文主任一道,组织开展了疑难手术讨论,术前制定了充分的围手术期治疗方案,对一些可能出现的手术并发症,制定了充足的应对措施。一切术前准备完善后,患者送入手术室行腹腔镜胆囊切除术。


与术前预想一致,患者因频发腹痛导致胆囊充血水肿僵硬,显露分离困难,且肝右动脉紧贴胆囊穿行汇入肝脏,外一科手术团队仔细辨认组织关系后分离胆囊,巧妙地避开了粗大搏动的肝右动脉,成功切除病变胆囊,术中出血不到20ml,手术顺利完成。





腹腔镜手术具有创伤小,恢复快的巨大优势,患者术后伤口疼痛不明显,当晚即可进食,次日已下地行走,在复查血常规、肝肾功能无异常后,患者目前已出院。


深圳市中医院与龙川县中医院自2016年即建立帮扶关系,2019年广东省全面开展医疗卫生人才“组团式”紧密型帮扶工作,双方医院进一步签订“组团式”紧密型帮扶协议,首批派出6名技术骨干驻点帮扶,目前该团队在短短的几个月已开展近20项新项目、新技术、中医适宜技术等,助力创建心血管病区、妇科门诊,目前正致力于龙川县中医院创建三级甲等中医医院。

  

供稿:深圳市中医院外科 李嘉

展开