4月初的中午,烈日炎炎,外一科值班医生有条不紊地工作着。突然,宁静被一阵嘈杂的脚步声和刺耳的轮椅声打破。一位精神萎靡瘫坐在轮椅上的老年患者被焦急的家属急匆匆推入外一科病房。
经过快速、系统的询问,得知77岁的老人家,因受胃炎、老年性膝关节炎折磨,一顿饭吃不了多少,体重仅37kg,且时常自行餐前自服止痛药。最为要紧的是患者还合并心肾功能不全,未行系统治疗,高血压3年,入院血压170/95mmHg,急诊胸片提示肺部感染,腹部平片提示腹腔大量游离气体。
鉴于患者病情危重,值班医生立即通知深圳市中医院派驻龙川县中医院外一科的名誉主任李嘉医生及该科主任。经过体格检查,结合急诊科相关检查资料,诊断为上消化道穿孔,同时患者精神萎靡,头部有稍许冷汗,血压92/61mmHg,尚需考虑感染性休克的可能。
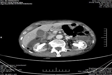
患者以最快的速度完善抽血检查,同时在李嘉医生和值班医生的陪护下行腹部CT以及心电图等术前检查。随后抽血结果数项同时异常超标,呈危急值状态:血浆-D二聚体7550.2ng/L、脑尿钠肽 4531pg/ml、肌红蛋白198ug/L;肾功6项:尿素 18.34mmol/L、肌酐271umol/L、尿酸668umol/L、胱抑素-C 2.93mg/L;血常规:白细胞11.68*109/L、中性粒细胞百分比92.5%、中性粒细胞数目10.80*109/L; C-反应蛋白126.01mg/L;降钙素原17.25ng/ml;CT提示腹腔大量游离气体以及大量腹腔积液,考虑消化道穿孔。
诊断已明确,长期空腹服用止痛药导致的上消化道穿孔可能性非常大,且食物残渣溢出至腹腔造成腹腔内感染,已造成患者感染性休克。但患者毕竟77岁,心肾功能长期功能不全,入院时双下肺已有感染,家属虽然要积极治疗,但要求保守治疗。
患者症状重,基础疾病更多,多耽误一分钟,患者就多向鬼门关迈进一步。李嘉医生与外一科主任立即联合心内科、肾病科、呼吸科、麻醉科召开紧急会诊,列出各专科并发症以及应对措施,并予患者家属详细分析病情,表明虽然风险巨大,手术是最好的治疗,相应专科已有应对措施。患者家属被龙川中医院联合精湛的联合会诊说服,同意立即手术治疗。
外一科以最快的速度完善术前准备,将患者送入手术室。患者毕竟感染严重,麻醉前生命体征已不平稳:心率:122次/min、血压 95/63mmHg、呼吸 25次/min、血氧95%。但在多位麻醉医师专业、精准调控后,顺利麻醉。深圳市中医院李嘉医生与龙川县中医院手术团队联合行腹腔镜探查术,术中证实十二指肠球部穿孔,腹腔大量脓液、脓苔;手术团队先行清除脓苔,控制感染,再行穿孔修补,得益于麻醉及手术的成功,感染得到明显控制,患者术后心率 86次/min、血压 156/86mmHg、呼吸 20次/min,生命体征已基本平稳。
患者消化道穿孔已导致其感染性休克,心、肾、肺功能不全,术后理应送入ICU做精密观察治疗,但龙川县中医院ICU尚未交付使用。深圳市帮扶医生李嘉主治医师成立科内治疗小组,根据其公斤体重,精确控制补液,同时密切联系心内科、呼吸科、肾病科、消化内科处理患者术后高血压、肺部感染、肾功能不全、胃炎等并发症。
在龙川县中医院多学科联合精准治疗下,且得益于腹腔镜手术创伤小、恢复快、探查彻底的优点,患者逐日康复,出院时体重已回升至41公斤。
供稿:深圳市中医院外科 李嘉



