90余岁高龄的张大爷(化名)近来笑逐颜开,一件困扰他二十多年的 “心头大石” 终于被彻底清除。在深圳市中医院外一科,医生采用中西医结合分期手术,精准为老人清除了多年的胆总管结石。术后恢复顺利,精神矍铄的张大爷已出院,逢人便夸这次治疗让他重获轻松与安康。
一、高龄与顽疾:手术困境与转机
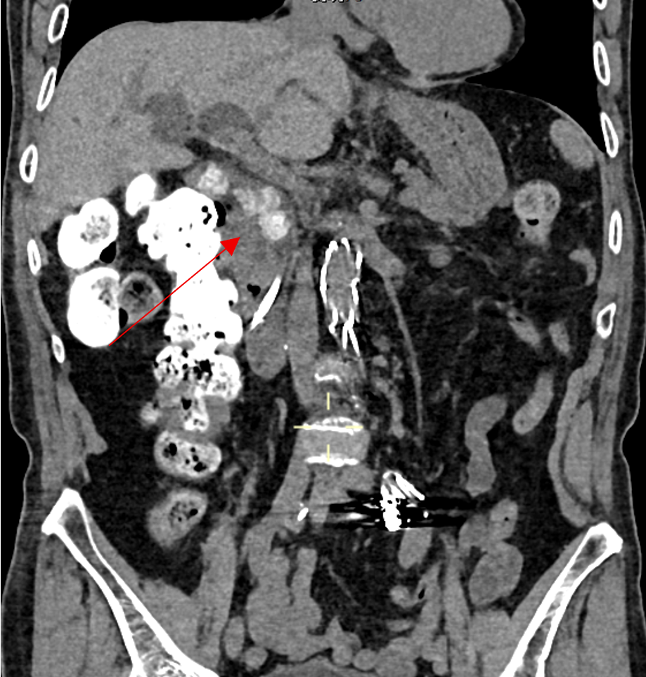
张大爷被反复腹痛折磨了二十多年。罪魁祸首是他的胆总管内长了4颗直径约2厘米的巨大结石(正常胆总管径仅为4至6毫米),导致胆总管及肝内胆管明显扩张,还引发了胆囊炎和胆囊结石。
图1:CT显示胆总管内多发结石,胆总管、肝内胆管扩张明显
由于超高龄和复杂的基础疾病,张大爷此前辗转多家医院,均因“手术风险过高”而被建议保守治疗。虽然保守治疗可暂时缓解症状,却无法根治[1],病情反复发作,严重影响老人的生活质量。
二、创新分期手术策略:中西医联手,六步定方案
针对这一复杂病例,深圳市中医院组织了包括肝胆外科、麻醉科、心血管内科、老年病科及针灸科在内的多学科专家会诊(MDT)[2]。充分发挥中西医结合的优势,制定了“评-消-托-引-补-访”六步治疗方案。
1. “评”法:多学科会诊,全面评估病情
多学科专家共同对患者全身状况、手术耐受度及中医证型进行综合评估,为制定个体化、分阶段治疗方案奠定基础。
2. “消”法:术前调理与术后炎症控制
· 术前运用益气健脾、疏肝利胆的中药(如柴胡疏肝散合四君子汤),改善患者“本虚标实”的体质,为手术创造良好条件。
· 术后早期采用和营通络、清热利湿的中药(如茵陈蒿汤合五味消毒饮),配合针灸(足三里、太冲等穴位),有效控制术后炎症,促进胃肠功能恢复。
3. “托”法:围术期“护场”构建与窦道成熟
术后三个月内,通过益气养阴、健脾和胃的中药(如沙参麦冬汤合香砂六君子汤)内服,配合生肌敛疮、活血通络的药膏(如金黄散、生肌玉红膏)外敷,促进T管窦道健康成熟,为后续微创取石建立安全通道。针灸及穴位贴敷(期门、胆俞等)进一步调和气血,提升机体“托毒外出”能力,为后续微创取石打造安全通道 REF _Ref16248 \r \h [3]。
4. “引”法:分期微创取石,畅通胆道
I期手术:行腹腔镜下胆囊切除术 REF _Ref16332 \r \h [4],并切开胆总管取出部分结石,留置T管引流。
图2:胆道镜视野下胆总管多发的结石
图3:经T管造影显示肝内外胆管情况
Ⅱ/Ⅲ期手术:待窦道成熟后,经T管窦道行胆道镜下微创取石,分次清除所有残余结石,最后顺利拔除T管。
图4:经过多次胆道镜取石,胆管内石头去除干净,无结石残余
5.“补”法:全程扶正,促进康复
根据《胆石症中西医结合诊疗专家共识(2025年)》明确提出,分期中医药干预可显著降低高龄患者术后并发症 REF _Ref16385 \r \h [5]。我院在张大爷术后不同阶段灵活运用中药:
· 术后早期:健脾益气(如党参、白术),促进胃肠功能恢复。
· 康复中期:益气养阴(如太子参、麦冬),防止感染耗气。
· 康复后期:补益肝肾(如杜仲、枸杞子),改善老年性筋骨功能,减少并发症。
6. “访”法:建立长期随访,防复发保健康
术后为患者制定系统随访计划,包括定期电话随访和门诊复查。通过肝功能、腹部超声及CT等检查,动态监测胆道系统恢复情况 REF _Ref16421 \r \h [6],建立患者健康档案,确保疗效持久。
三、治疗成果:高龄无忧,顽疾终除
通过精细的分期手术与中西医结合的全程管理,张大爷腹痛症状完全消失,各项生理指标恢复正常,精神、食欲明显改善,最终康复出院。
这一案例标志着深圳市中医院在高龄、高风险胆道疑难疾病的中西医结合治疗上取得了新的突破。也充分证明,在中西医结合的精准治疗下,高龄不再是手术的“禁区”。
【参考文献】:
[1] 刘昌,孟凡迪,王瑞涛.胆石症基础研究现状与展望[J].中国实用外科杂志,2021,41(01):48-51.DOI:10.19538/j.cjps.issn1005-2208.2021.01.07
[2] 张斌豪,李开艳,邱红,等.肝胆胰疾病MDT单中心开展七年经验[J].腹部外科,2021,34(04):285-290.
[3] 王红,崔乃强。从“消托补”到“消托引补”:腹内痈治疗原则的理论演进[J/OL]。中国中西医结合外科杂志,1-4[2025-10-07].http://link--cnki--net--https.cnki.gzzyy.qfclo.com:2222/urlid/12.1249.R.20250909.1154.004.
[4] 赵璐,陈海玲.腹腔镜手术治疗高龄胆结石患者的临床效果研究[C]//榆林市医学会.第五届全国医药研究论坛论文集(五)。内蒙古医科大学附属医院;,2024:807-810.DOI:10.26914/c.cnkihy.2024.018408.
[5] 中国中西医结合学会消化系统疾病专业委员会.胆石症中西医结合诊疗专家共识(2025年)[J].中国中西医结合消化杂志,2025,33(03):242-251.DOI:CNKI:SUN:ZXPW.0.2025-03-005.
[6] 黄清秀,周海莲.中老年胆石症患者相关因素调查分析[J].内蒙古医科大学报,2018,40(S1):169-171.DOI:10.16343/j.cnki.issn.2095-512x.2018.s1.066
供稿来源:深圳市中医院外一科病区 张睿昆、2025级广中医研究生 刘晨琪
科普指导:深圳市中医院外一科病区 刘嘉林



