很多人照镜子时会发现,前牙上有一些明显的白色斑块、白垩色痕迹,尤其一笑起来特别显眼。这时候很多人的第一反应是:“是不是牙没刷干净?”“是不是只能做贴面?”其实,不一定。对于一部分前牙表面的白斑问题,临床上有一种相对微创的方式,叫做渗透树脂(Resin Infiltration)。简单来说,它不是把牙齿“磨掉重做”,而是通过特殊材料渗入病变区域,来改善白斑外观,让颜色看起来更均匀。
什么是渗透树脂?
你可以把它理解成一种“微创修饰”。牙齿表面出现白斑,很多时候是因为局部釉质脱矿,光线反射方式变了,所以看起来一块白、一块不白。渗透树脂的作用,就是把这种区域“填一填、匀一匀”,让它和周围牙体组织的颜色差异没那么明显。
它的特点是:尽量少磨牙,甚至不磨牙。操作时间相对短。更偏向改善外观。适合部分前牙白斑、美观问题。说得通俗一点,它有点像给牙面做一次“低调修图”,不是大动干戈换脸,而是尽量让它看起来自然一点。
哪些情况可能适合?
1.前牙表面的白斑。
2.正畸后出现的脱矿白垩斑。
3.一些浅表的釉质颜色不均。
4.尤其是有些患者在摘掉牙套后发现牙面留下几个明显白斑,这时候渗透树脂就常常会被纳入考虑范围。
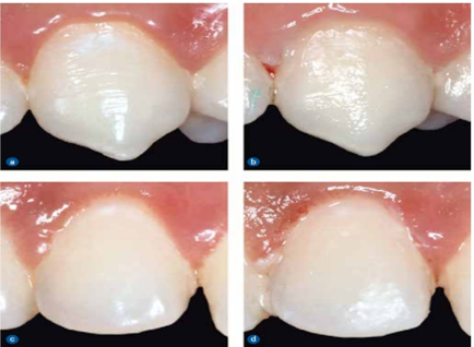
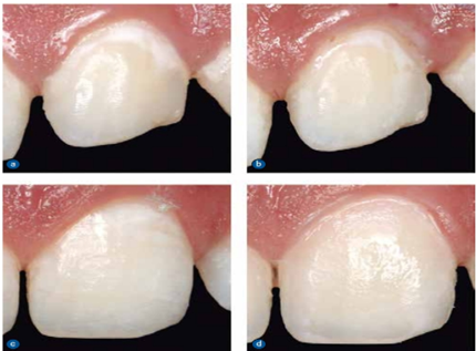
图片引自:Andrade, Rosa Maria Pereira Moises Barbosa, et al. "Clinical evaluation of the immediate masking effect of enamel white spot lesions treated with an infiltrant resin." International Journal of Esthetic Dentistry 15.3 (2020).
不过要注意:不是所有“牙齿发白”都适合做渗透树脂。比如:斑块太深、发育性问题较重、颜色改变范围较大、牙体本身缺损明显等这些情况下,可能需要结合其他方式,比如修复、贴面等,具体要由医生检查后判断。
渗透树脂的优点
1. 微创
相比一些需要更多牙体预备的方式,渗透树脂对牙体组织更友好。
2. 美观改善较自然
对于合适病例,白斑和周围牙面的色差可以得到一定改善。
3. 患者接受度通常比较高
尤其是那些不想一上来就做贴面、也不希望磨太多牙的患者,会比较容易接受这种方式。
渗透树脂有没有局限呢?当然有!渗透树脂不是“万能美白术”,它更准确地说是对合适适应证的一种微创美学改善方法。它的效果会受到很多因素影响,比如:白斑的深浅。病变范围。牙面本身情况。自身对美观的期待值。有些患者做完会觉得改善很明显,有些则可能只是“比之前好,但不是完全看不见”。
前牙美观问题,很多时候不只是“白不白”,更重要的是:是什么原因导致的,适不适合微创处理,自身期待值是不是合理。渗透树脂的意义就在于:给一部分前牙白斑患者,提供一种更保守、微创的美学改善选择。如果你发现自己前牙有明显白斑,也不用一上来就担心“是不是一定要磨牙做贴面”。先检查、先判断,再选择适合自己的方案,往往更重要。
供稿来源:深圳市中医院口腔科 张美玲
科普指导:深圳市中医院口腔科 秦霞南



