法国思想家伏尔泰说过:生命在于运动!
小程就是奉行这一思想的年轻小伙。在闲暇时刻,约上三五好友,篮球场上挥汗驰骋。为了争抢篮板,小程一个奋力起跳,下地后,意外却发生了,虽然没有很剧烈疼,但脚上的感觉不对,好像走不了路了,立刻下场脱鞋子查看。脱下袜子后,他和旁边的伙伴们都惊呆了!
在拨打120的同时,想起一些急救知识:用冷水瓶垫高并冷敷。
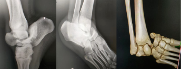
送到我院后,急诊医生立刻安排检查,X线片和CT检查提示:距骨周围脱位!
X线片和CT图片
急诊医生将小程的检查资料发给了骨伤科一病区余阗主任医师,余阗主任医师查看后,回了一句:让患者等我一下,马上过来!
只用了不到20分钟,余阗主任医师就赶到了急诊科。再次查看小程的踝关节情况,及详阅患者的全部影像学资料后,认为:目前距离发生脱位时间短,急救措施得当,手法复位成功可能性大!
于是马上为小程进行手法复位,一套操作,伴随一声“咔哒”,成功复位!
复位后图片
为了预防距骨周围脱位并发症的发生,收入住院,一边用余阗主任临床经验总结的伤科油纱外敷,一边用其他中医特色疗法治疗,小程幸运的没有出现并发症。
1月后复诊时,小程已经可以正常行走。
距骨周围脱位:
也称为距下关节脱位,是指累及到距舟关节和距下关节的脱位。较少见的损伤,占所有脱位的1%-2%,占距骨损伤的15%,常见于青年男性。
常见类型有:
内侧脱位(85%):由内翻暴力所致,常累及距舟背侧韧带-距跟骨间韧带-跟腓韧带。
外侧脱位:多为高能量损伤,外翻暴力所致,常累及三角韧带-距跟骨间韧带-距舟背侧韧带。
治疗方法有:
1、闭合复位:
· 放松肌肉;
· 屈曲膝关节,减少跟腱的张力;
· 轴向牵引,屈膝对抗牵引;
· 逆损伤机制“解锁”;
· 指压法,注意距骨头复位-皮肤坏死;
· 短腿石膏托固定3-4周,早期活动,避免关节僵硬。
2、手术治疗:
常因关节囊、伸肌支持带、趾短伸肌、胫后肌腱、舟骨结节等阻碍复位。
院内制剂:
伤科油纱:由黄柏,红花,大黄,紫草、冰片等药物组成,具有活血消肿止痛之功,用于急性软组织损伤、骨折前期的治疗。
驳骨油纱:由乳香、没药、桂枝、续断、独活等药物组成,具有活血止痛、接骨续筋之效,用骨折中后期的治疗。
科普指导:深圳市中医院骨伤科 余阗



