锁骨呈S形架于胸骨柄与肩峰之间,是连接上肢与躯干之间的惟一骨性支架。
锁骨位于皮下,表浅,受外力作用时易发生骨折,发生率占全身骨折的5%~10%。多发生在儿童及青壮年。
锁骨骨折临床主要表现为局部肿胀、皮下淤血、压痛或有畸形,畸形处可触到移位的骨折断端,如骨折移位并有重叠,肩峰与胸骨柄间距离变短。
伤侧肢体功能受限,肩部下垂,上臂贴胸不敢活动,并用健手托扶患肘,以缓解因胸锁乳突肌牵拉引起的疼痛。触诊时骨折部位压痛,可触及骨擦音及锁骨的异常活动。
幼儿青枝骨折畸形多不明显,且常不能自诉疼痛部位,但其头多向患侧偏斜、颌部转向健侧,此特点有助于临床诊断。
有时直接暴力引起的骨折,可刺破胸膜发生气胸,或损伤锁骨下血管和神经,出现相应症状和体征。
患者是12岁的男孩,2019年2月27日早晨10点站起身的时候不小心将左肩撞到了黑板角。
他当时立即感觉到左肩部肿痛,活动不开,受到了限制。于是立即被送往深圳市福田区妇幼保健院就诊。
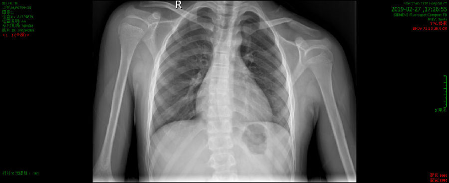
查胸部正侧位示:
1、左锁骨中段骨折。
2、所示左肩关节对合欠佳。
多考虑体位所致,关节脱位待排,请结合临床。
深圳市福田区妇幼保健院医生建议住院手术治疗,于是立即将患者送往深圳市中医院急诊就诊。
深圳市中医院急诊医师诊断为“左锁骨中段骨折”,建议住院手术治疗。
在得到患者的同意后,以“左锁骨中段骨折”被收住在深圳市中医院骨伤科接受治疗。
入院后完善左肩关节CT平扫(新)诊断意见:
1、左锁骨中段骨折。
2、左肩胛骨喙突基底部骨折。
请结合临床。

术前左锁骨X线

术前左肩关节三维成像
由于患者的左锁骨中段骨折呈成角畸形,骨折移位较大,考虑单纯“8”字绷带固定难以纠正畸形,考虑到患者还是12岁幼儿,如果采用传统切开复位钢板螺钉内固定术,手术切口较大。
经过术前讨论,深圳市中医院骨伤科王立新主任医师、谭锐泉副主任医师制定了弹性髓内钉内固定术的微创治疗方案。
2月28日顺利实施手术,随后经过深圳市中医院各项中医特色理疗,术后第2日,患者就恢复了生活自理。

术后X线复查,骨折解剖复位

那么微创手术的切口究竟多小呢
看看这个对比你就知道了

术后微创切口
传统切复位钢板螺钉内固定术切口
科普指导:深圳市中医院骨伤科



