病情回溯:当“老问题”遇上“新危机”
55岁的吴女士,近年来一直与克罗恩病共存。2022年11月,她曾因“消化道穿孔、胆囊炎”在深圳市中医院接受手术,术后规律使用生物制剂(乌司奴单抗)控制病情,近年来状况平稳。然而,疾病的考验并未结束。
今年4月吴女士因“腰痛伴右下肢疼痛一个多月”再次入住市中医院骨伤科,被诊断为腰椎间盘突出症。疼痛让她几乎只能卧床,医生建议手术,但她选择了保守治疗。平静之下,危机正在酝酿。
5月4日,新的症状突然出现:腹部胀痛、恶心呕吐、低热,连续两日未解大便、未排气……一个个信号提醒着:情况正在起变化。
查体:腹部稍膨隆,全腹压痛,轻度反跳痛,肠鸣音偏弱。
辅助检查:急查血常规和超敏C反应蛋白。白细胞18.52*109/L,中性粒细胞16.88*109/L,中性粒细胞百分比91.2%,超敏CRP158.48mg/L。
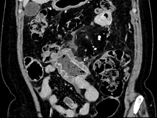
全腹增强CT扫描:克罗恩病并小肠穿孔、腹膜炎治疗后。中下腹部节段小肠肠壁增厚并周围渗出病变,较前进展,局部少量积液;局部小肠扩张并管壁水肿,可疑不全性肠梗阻;下腹壁切口疝形成。
治疗经过:西医奠基,中医破局
面对吴女士的复杂病情,医疗团队迅速行动。5月5日,脾胃病科会诊后,诊断指向了“不完全性肠梗阻”。考虑到患者有腹部手术史,且感染指标高,若病情恶化再次手术,风险极大。一场“肠道保卫战”就此打响。
第一步:西医奠基,稳住阵脚
团队立即采取了标准西医治疗方案:禁食、加强抗感染、抑酸护胃、泵入生长抑素减少胃肠道分泌,同时维持水电解质平衡,并进行清洁灌肠。这一系列组合拳旨在让发炎、梗阻的肠道“休息”,控制感染,为康复创造基础条件。
经过处理,吴女士的腹部症状有所减轻,但僵局仍未完全打破:她依然无法自主排便,并伴有口干、口气重等症状。舌苔脉象也提示体内存在气滞湿阻、本虚标实的情况。
第二步:中医破局,双管齐下
5月6日原治疗基础上加以口服四磨汤口服液行气通便,配合经方麻子仁丸清热行气通腑,西洋参益气生津,佩兰化湿,处方如下:
火麻仁、麸炒枳实、姜厚朴、大黄、燀苦杏仁、白芍、西洋参、佩兰。
共3副,日一剂,浓煎内服。
第三步:精准调方,一举多得
至5月9日,吴女士腹部症状及体征较前稍改善,未自主解大便,且仍有腰痛伴右下肢疼痛、活动受限,前方基础上大黄加大用量以加强清热通腑,赤芍、白芍、炙甘草乃经方芍药甘草汤缓急止痛,鸡血藤、大血藤活血通络止痛,木瓜舒筋化湿,牛膝活血通经且引药下行直达病灶,处方如下:
火麻仁、麸炒枳实、姜厚朴、大黄、燀苦杏仁、白芍、西洋参、佩兰、赤芍、牛膝、木瓜、鸡血藤、大血藤、炙甘草。
共3副,日一剂,浓煎内服。
圆满结局:一通百通,诸症皆平
转机,出现在5月12日。服用调整后的方药后,好消息接连传来:腹部症状明显缓解,体征转阴,最关键的是——她能够自主排便了! 与此同时,困扰她许久的腰痛和右下肢疼痛也明显好转。当天,吴女士病情稳定,顺利出院。更令人欣慰的是,在近两个月后的6月27日,她返院规律注射乌司奴单抗时,显示病情控制稳定,无任何腹部不适,腰腿痛也持续缓解,所有炎症指标均已恢复正常。
不完全性肠梗阻是什么?
不完全性肠梗阻(也称为部分性肠梗阻)是指由于各种原因导致肠腔内容物(食物、液体、气体)的通过发生部分障碍,但尚未完全中断的一种病理状态。
病因:机械性肠梗阻、动力性肠梗阻、血运性肠梗阻以及其他因素等。
案例点评
本例患者肠梗阻的病因复杂,是克罗恩病炎症、术后肠粘连与长期卧床导致肠道动力减弱共同作用的结果。
治疗上,该患者经一系列西医规范治疗后病情得到控制,但症状及体征未完全缓解,且无自主解大便。面对这一僵局,我们决定发挥中西医结合的治疗优势,予经方麻子仁丸合用芍药甘草汤加减治疗。
麻子仁丸源自《伤寒论》第247条,"趺阳脉浮而涩,浮则胃气强,涩则小便数,浮涩相搏,大便则硬,其脾为约,麻子仁丸主之。"
主治:脾约证(肠胃燥热,津液不足所致便秘)。
芍药甘草汤出自《伤寒论》第29条,“伤寒脉浮,自汗出,小便数,心烦,微恶寒,脚挛急,反与桂枝欲攻其表,此误也。得之便厥,咽中干,烦躁吐逆者,作甘草干姜汤与之,以复其阳。若厥愈足温者,更作芍药甘草汤与之,其脚即伸...”
主治:津液受损,阴血不足,筋脉失养所致的各种拘挛、抽搐、疼痛之证。
该患者所用处方的方解:
麻子仁丸:润肠泻热、行气通便,使患者能够自主排气排便是一切治疗的核心。
芍药甘草汤:活血通络、缓急止痛,且能通便,对于患者的腹痛、腰腿痛均适宜。
木瓜、牛膝:祛湿舒筋、活血通络,对于下肢疼痛尤为适宜,且《民间秘方治百病》记载膝瓜酒治疗粘连性肠梗阻有一定成效。
鸡血藤、大血藤:一温一凉,共奏通络止痛之功。
佩兰:芳香化湿,缓解患者的口臭症状。
西洋参:益气养阴生津,防止攻伐之药伤正。
综上所述,该方以行气润肠通便为核心原则,以缓急通络止痛为辅助治法,兼顾化湿、扶正之功,巧妙地将治疗腹痛与腰腿痛融为一体,充分体现了中医“整体观念”和“辨证论治”的智慧。
专家建议
不完全性肠梗阻是克罗恩病常见且棘手的并发症,许多患者甚至以此为首发症状。正因其处理困难,将预防置于首位,并作为一项长期坚持的管理目标,显得至关重要。
控制肠道炎症是根本措施:
预防肠梗阻根本的措施在于控制肠道炎症。患者应严格遵医嘱用药,并坚持定期随访与监测,因为肠梗阻多源于长期炎症控制不佳所导致的肠壁增厚与纤维化狭窄。
精心的饮食管理尤为关键:
1. 建议采取低渣/低纤维饮食,避免摄入粗糙、难消化的食物。
2. 遵循“少吃多餐”原则,减轻肠道单次负担。
3. 进食时应充分咀嚼、细嚼慢咽。
4. 谨慎对待高脂、油腻及易产气的食物,以降低肠道刺激。
保持健康的生活方式非常重要:
务必彻底戒烟,积极管理精神压力,参与适度的身体活动,并保证每日充足水分摄入,以维持肠道正常功能。
患者需学会主动监测自身病情变化:
如出现腹痛、腹胀、恶心呕吐、排便习惯改变(便秘或腹泻)、排气或排便减少,甚至自觉“气过水声”等异常表现,应高度警惕,并及时就医干预,以防病情进展。
供稿来源:深圳市中医院脾胃病科(消化) 谢伟昌



